Najkvalitetniji i najbrži snimci sa najmanjom dozom zračenja. Aparati najnovije generacije i decenijsko iskustvo pomoći će da Vaš stomatolog stekne najbolji mogući uvid u stanje vaših zuba.
Koristimo najsavremeniju digitalnu tehnologiju za snimanje zuba. Digitalni snimci omogućavaju Vašem stomatologu najbolji mogući uvid u stanje vaših zuba sa minimalnom dozom zračenja i maksimalnom preciznošću.

Naš centar je opremljen najsavremenijim 3D (CBCT) aparatima najnovije generacije. Cone Beam Computed Tomography omogućava trodimenzionalni prikaz zuba, vilica, glave i sinusa sa najmanjom dozom zračenja i najvećom preciznošću.
Pružamo usluge snimanja vilica, glave i sinusa pomoću najsavremenije 3D tehnologije. Naši snimci pomažu stomatolozima i ortodontima da steknu potpun uvid u strukturu vilica i okolnih struktura za najbolje planiranje tretmana.

Naši aparati najnovije generacije omogućavaju najvalitetnije i najbrže snimke sa najmanjom dozom zračenja. Decenijsko iskustvo našeg tima garantuje da će Vaš stomatolog dobiti najbolji mogući uvid u stanje vaših zuba uz minimalno izlaganje zračenju.

Najsavremenija digitalna tehnologija za snimanje zuba sa minimalnom dozom zračenja.
Trodimenzionalno snimanje zuba i vilica pomoću Cone Beam Computed Tomography tehnologije.
Precizno snimanje vilica za potrebe ortodoncije i oralne hirurgije.
Kompletan pregled struktura glave pomoću najsavremenije 3D tehnologije.
Dijagnostika sinusa i maksilarnih struktura za potrebe stomatologije i ORL-a.
Aparati najnovije generacije sa najmanjom dozom zračenja za vašu sigurnost.
Brza dijagnostika i rezultati u najkraćem mogućem vremenu.
Iskusni tim sa dugogodišnjim iskustvom u digitalnom snimanju zuba.
Precizno snimanje temporomandibularnih zglobova za dijagnostiku i planiranje tretmana disfunkcija vilica.
Najvalitetniji i najbrži snimci sa najmanjom dozom zračenja. Aparati najnovije generacije i decenijsko iskustvo.
Najsavremenija digitalna tehnologija za snimanje zuba sa minimalnom dozom zračenja. Digitalni snimci omogućavaju Vašem stomatologu najbolji mogući uvid u stanje vaših zuba sa maksimalnom preciznošću.

Trodimenzionalno snimanje zuba i vilica pomoću Cone Beam Computed Tomography tehnologije. Aparati najnovije generacije omogućavaju preciznu dijagnostiku sa najmanjom dozom zračenja.

Kompletan pregled struktura vilica, glave i sinusa pomoću najsavremenije 3D tehnologije. Naši snimci pomažu stomatolozima i ortodontima da steknu potpun uvid za najbolje planiranje tretmana.
.jpeg)
Aparati najnovije generacije omogućavaju najvalitetnije i najbrže snimke sa najmanjom dozom zračenja. Decenijsko iskustvo našeg tima garantuje vašu sigurnost i najbolje rezultate.
.jpeg)
RTG snimanje temporomandibularnih (viličnih) zglobova sa otvorenim i zatvorenim ustima je standardna dijagnostička metoda koja se koristi za procenu funkcije i strukture zgloba koji povezuje donju vilicu sa lobanjom.
Ova vrsta snimanja, često nazivana i TM zglob snimak, obuhvata dve faze kako bi se uporedilo stanje zgloba u različitim položajima:

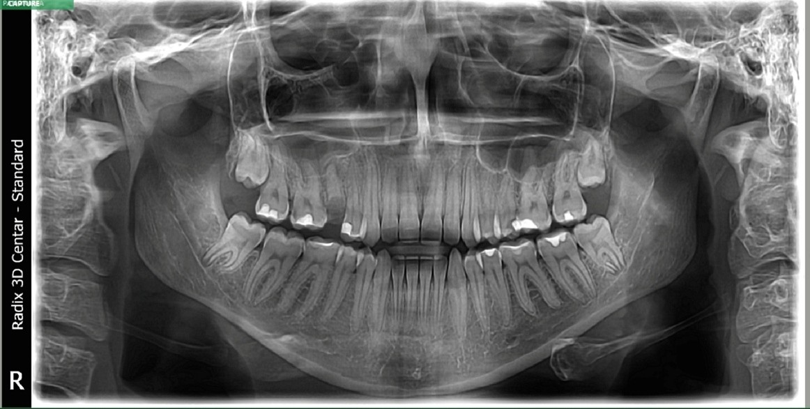
Ortopantomogram digitalni sa štampom
Ortopantomogram digitalni (za decu) sa redukovanim zračnim poljem
Ortopantomogram bez štampe
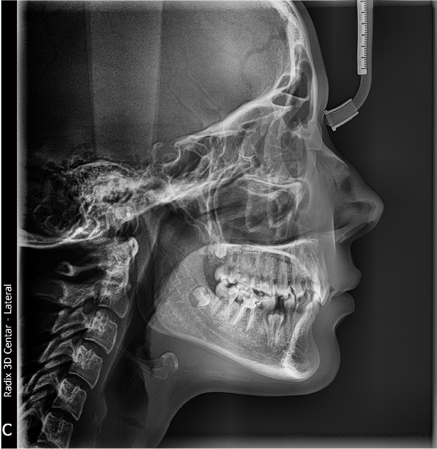
Profilni telerendgen
Snimak sinusa
Snimak TM zglobova
Paranazalne šupljine
Naknadno štampanje snimaka
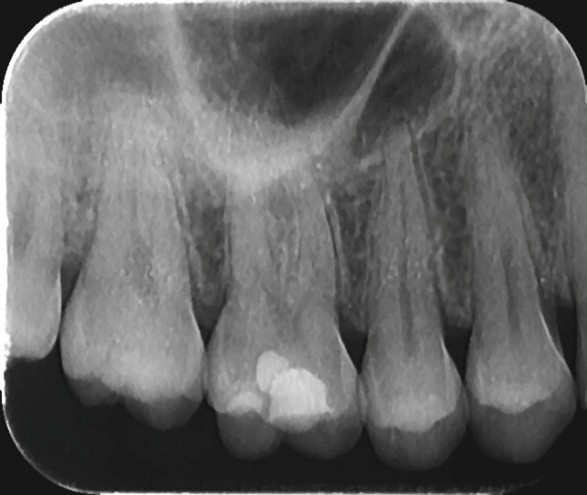
Retroalveolatni snimak (snimak ciljane regije)
Retrokoronarni snimak
Mali snimci bez štampe
3D (CBCT) snimak malo polje (5x5)
3D snimak srednje polje (CBCT jedna vilica)
3D snimak veliko polje (CBCT obe vilice)
Slanje snimka e-mailom se ne naplaćuje
U Radix Orto centru posedujemo najsavremenije aparate za izvođenje 2D panoramskih (ortopan), telerendgenskih (TR snimak ili CEPH), svih vrsta „malih" tj. intraoralnih (retroalvelarni, retrokoronarni, aksijalni itd) snimaka kao i 3D CBCT snimaka Vatech, Soradex i štampače Carestream sa Dicom standarom štampe velike rezolucije.
Zahvaljujući specijalnoj Magic Pan tehnologiji i senzoru velike rezolucije, ortapan snimci su znatno „oštriji" i „čistiji" u odnosu na klasične digitalne snimke. Snimci se obrađuju u EzDent softveru, i potom štampaju, ceo proces ne traje više od nekoliko minuta. Digitalni način snimanja na Vatech aparatu poslednje generacije podrazumeva vreme snimanja (ekspozicije) ispod 10 sekundi što za pacijenta znači kraću izloženost x zracima, a samim tim i manju apsorbovanu dozu za vreme snimanja.
Snimci se obrađuju u EzDent i Scanora softveru, tako da se dobiju odgovarajući kontrast i prosvetljenje. Snimak se može štampati kako na foliji normalnih dimenzija ili slati e-mailom. Prednost kod elektronski poslatog snimka je što se može uvećati i prilagoditi (sve što može da se uradi i sa digitalnom fotografijom) i može lakše i neograničeno da se čuva, kao i svaki drugi fajl a prednosti štampanog snimka su specifičan proziran prikaz koji zubnom lekaru daje bolji osećaj „dubine" projekcije i mogućnost premeravanja i obeležavanja što je od posebne važnosti za profilni kefalogram u ortodonciji.
CBCT (Cone Beam Computed Tomography) koristi princip rada standardnog skenera, ali uz znatno manju dozu zračenja. Danas je najviše zastupljen u stomatologiji, ali ga često koriste specijalisti ORL. Prednost u odnosu na standardne (ortopan i dental) snimke je što se snimak radi u sve tri dimenzije, tako da ne postoji mogućnost superpozicije. Aparat u određenom polju, radi veliki broj preseka, u sve tri dimenzije.
Veličina radnih polja omogućava savršen prikaz u zavisnosti od zone interesovanja. Malo polje (5×5 cm) je namenjeno za planiranje zahvata u jednom kvadrantu (hiruški zahvati sa pojedinačnim implantima, lokalizovani dentalni problemi). Srednje polje (7,5×10 cm) jedne vilice (gornjeg ili donjeg zubnog luka). Dok se veliko polje (8,5×12) koristi za pregled celog zubnog aparata obuhvatiti oba zubna luka, sa podom maksilarnog sinusa kao i mandibularnim kanalom. Ovo polje je posebno korisno za implantološko planiranje. Dovoljno je naglasiti našem rendgen tehničaru zonu interesovanja da bi on prilagodio veličinu regije.
EzDent, poseduje u sebi veliki broj pomoćnih alatki za merenja u sve tri dimenzije i virtualno planiranje implanata. Usled velikog broja preseka koje ovaj snimak poseduje, štampanje bi bilo neisplativo, stoga se ovi snimci režu na CD-ove, ili šalju putem WeTransfera, na željenu e-mail adresu stiže link za preuzimanje snimka. Rad na softveru je krajnje jednostavan, a jedino što Vam je potrebno je posedovanje računara osnovno znanje rada na istom. Ako se do sada niste susretali sa našim softverom, nakon otvaranja fajla sa CBCT snimkom kliknite na ikonicu Simple Viewer Luncher. Otvoriće se prozor u kojem nudi ORIGINAL ili LITE verziju programa (lajt birate ako vam je grafička karta na računaru slabija od Nvidia Geforce 720). Nakon toga otvara prozor gde traži da instalira softverska dopuna. Idete klikom na NEXT, pa na INSTAL, a zatim FINISH i otvoriće program sa snimkom. Za sva pitanja i pomoć naši zaposleni su tu da Vam izađu u susret.
Rendgen zuba pomaže vašem stomatologu da vidi bolesti zuba i okolne kosti koja se ne mogu uočiti prilikom običnog pregleda...
Ortopantomogram je pregledna kružna rendgenska slika. Na njemu je vilica prikazana u potpunosti i raspoređena u ravnini...
Retroalveolarni snimak zuba je nešto što se često zahteva u toku lečenja zuba i često je i obavezno...
Telerendgen je lateralni (bočni) rendgenski snimak glave koji prikazuje kosti lica, zube i okolne strukture u profilu...
Rendgen snimak može da prikaže različita oboljenja i probleme koji se ne mogu uočiti običnim pregledom...
Ovo zavisi od uzrasta osobe, stanja opšteg i oralnog zdravlja...
Obavezno svom stomatologu recite ako ste- ili sumnjate da biste mogli biti- u drugom stanju...
Može se, u neku ruku, reći da je snimanje najprijatniji deo odlaska kod stomatologa...